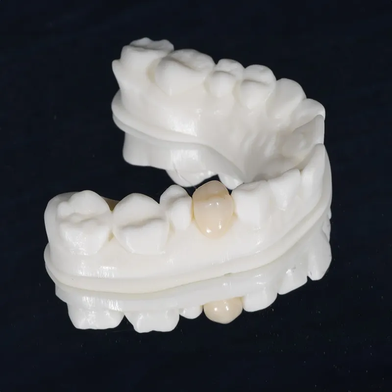
3D Printed Restorations
Custom solutions, exceptional results
Transforming smiles with precision and speed
3D Printing
Custom solutions, exceptional results
Experience precision, speed and satisfaction with 3D printing at Dental Paradiso.
What is 3D printing in dentistry?
3D printing is a cutting-edge technology that allows us to create custom dental restorations or appliances with unparalleled accuracy and precision. This technology is transforming the way we provide dental care to our patients, offering a range of advantages over direct composites.
High-performance 3D printing resins
One of the key advantages of 3D printing in dentistry is the unique properties of the resins we use. These resins are biocompatible and possess mechanical qualities similar to those of natural teeth.
Our 3D printing process is meticulously precise. We cure the resins using finely targeted intense light in ultra-thin layers, just 100 micrometres at a time, followed by high heat and powerful light for post-curing. This process ensures that the polymerisation of our resins exceeds 90% so that your biocompatible dental prosthetics are stronger, safer and more dimensionally accurate with unparalleled smoothness.
Why does the polymerisation rate matter?
Polymerisation is the process by which the liquid resin material is converted into a solid and strong dental restoration. A high degree of polymerisation means that the resin molecules are tightly bonded together, resulting in dental restorations with superior wear resistance and strength.
These properties are vital because dental restorations must withstand the forces exerted during chewing and biting. For our patients, this translates to the assurance that they can enjoy their new restorations for many years to come.
Why choose Dental Paradiso for your 3D-printed dentistry?
Affordability: We offer a range of 3D-printed restorations or appliances at competitive prices. We understand that dental care should be accessible to everyone, and we’re committed to providing our patients with the best possible value for their money.
Efficiency: 3D printing allows us to produce dental restorations in record time, often in a single visit. This means that you can get the treatment you need quickly and conveniently without having to wait weeks for your restoration to be made.
Precision and quality: Our 3D printing technology ensures that every restoration we create is of the highest precision and quality, giving you a beautiful and functional smile.
Conservative approach: Our 3D-printed dental solutions often require less invasive tooth preparation, preserving more of your natural tooth structure while still achieving exceptional results.
Smile transformation: Whether you’re looking for a simple tooth enhancement or a complete smile makeover, we can help you achieve the results you desire.
Experience 3D printing at Dental Paradiso!
At Dental Paradiso, we invest in the latest precision dental 3D printer to provide our patients with the best possible dental care. 3D printing is one of the most exciting new technologies in dentistry, and we’re proud to provide our patients with the precision, speed, and satisfaction it offers.
Ready to experience the future of dentistry? Book an appointment with us now to learn how our beautiful, durable 3D-printed dental solutions can be perfectly tailored just for you. Your smile deserves the best, and at Dental Paradiso we deliver exceptional results in record time with unparalleled care.
